Advanced TechnologyBusiness and Products

Contributing to lifestyles through technological competency, with eyes set on the future

Contributing to lifestyles through technological competency, with eyes set on the future
Kurabo’s electronics business contributes to the advancement of manufacturing by providing factory automation and inspection and measuring devices centered on color sensing technology. While the engineering business has its foundations in environmental plant technologies such as wastewater and waste gas treatment, it is also expanding into biomass power generation. The biomedical business offers reagents, equipment, and services for drug discovery, cosmetics development, and preclinical studies. These businesses make up Kurabo’s Advanced Technology Division, which contributes to safety, security, and comfort in people’s lives through advanced manufacturing, research, and energy utilization.
Business Fields and Main Products
- Color and image processing technology
- Product inspection
/measurement - Environmental plant equipment
- Heat treatment equipment
- Regenerative medicine
-related products - Gene analysis
-related products - Agitation and defoaming related
Electronics Field
Color and image processing technology

- 3D vision robot systemKURASENSE
- Combining numerous types of robots with high-speed 3D vision sensors for recognizing cables, KURASENSE makes possible handling systems for linear objects such as cables, something difficult to achieve with conventional automation.See more(Japanese only)

- Infrastructure management systemPG-4 compact pavement inspection system
- Equipped with 3D cameras, a speedometer, and GPS, this inspection unit can detect road damage at a speed of 100 km/h, thus dramatically shortening inspection time. It contributes to efficient diagnosis of infrastructure deterioration.See more
Product inspection
/measurement

- AFVI system for HDI/flex PCBsBBMaster
- In addition to proprietary image processing technology, BBMaster uses the Kurabo-developed color/monochrome switching camera, allowing the user to spot previously unseen defects. See more

- Infrared measuring deviceFilm thickness meter
- Kurabo’s film thickness meter offers non-contact, high-speed response. It can easily measure the thickness of packaging film and the thickness of oil on steel plates, making it ideal for measurement at production sites.See more
Advanced Technology Division
Electronics Field site
Engineering Field
Environmental plant equipment

- Effluent treatment facilities
- We design and build water treatment facilities that satisfy a wide variety of customer needs, including public facilities such as effluent water treatment equipment for municipal incinerators and effluent treatment systems for industry.See more

- Exhaust gas treatment equipment
- We manufacture a comprehensive lineup of exhaust gas treatment equipment. Products include wet-type equipment for removing SOx and HCL, denitration equipment for breaking down NOx with catalysts and reducing agents, and dust-collecting equipment that uses coulomb force and filter cloth.See more
Heat treatment equipment

- Fluidized-bed boilers (Biomass power plants)
- We operate biomass power plants incorporating steam turbines that run on biomass fuel such as timber from forest thinning.
By using waste plastic, RPF (refuse paper and plastic fuel), food residue, and sludge in addition to biomass fuel such as wood and tire chips, energy is collected in the form of steam or high-temperature air.See more

- Livestock waste treatment system 【FUNTO】
- With its powerful sterilization and drying capabilities, this system can repeatedly recycle livestock waste (used litter containing livestock excrement and urine) into dry and clean compost.See more(Japanese only)
Advanced Technology Division
Engineering Field site
Biomedical Field
Regenerative medicine-related products

- Normal human epidermal keratinocyteNHEK(NB), NHEK(AD)
- Two types of cells—newborn infant-derived and adult-derived cells—and a serum-free culture medium especially formulated for keratinized cells are available. In-house QC data and donor information are provided for each lot. Reservation of a specified lot is possible.See more

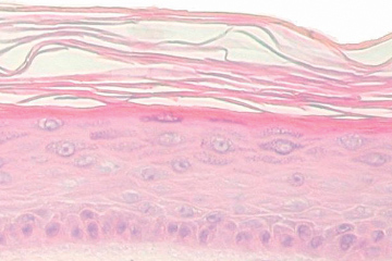
- 3D skin modelEPI-200
- A restructured model consisting of normal human epidermal keratinocyte. The 3D structure is similar to human skin, which is multilayered and highly differentiated. This effective replacement for traditional animal testing is used in a range of tests.See more
Gene analysis-related products

- Multi-sample DNA microarrayGene Square
- A DNA microarray that can simultaneously analyze 24 different types of sample (specimen) on a single slide. It is a tool that can be used not only for processes such as gene function analysis but also genetic testing of the human constitution at a low cost.

- Nucleic-acid extraction equipmentQuickGene
- QuickGene is a system that quickly extracts DNA and RNA from a sample with high purity. The product lineup is extensive and ranges from fully automatic devices to small-scale extraction equipment.See more
Agitation and defoaming related

- Planetary Centrifugal MixerMAZERUSTAR
- By rotating the container containing the material while revolving it around its axis, agitation and defoaming are performed simultaneously in a short period of time. We offer a lineup of a wide range of equipment to support everything from research and development to production.See more